Ad Code

Mesothelioma Cells In Pleural Fluid - effusion cytopathology. Ascitic cytopathology / Malignant mesothelioma (mm) is an asbestos related .

And secreting and reabsorbing electrolytes and pleural fluid. Recurrent unilateral pleural effusion is the most typical presentation . Cytomorphology of epithelioid mesothelioma cells and tissue fragments in effusions. We identified several novel regions of interest in pleural effusion tumour cells. The diagnosis of pleural malignant mesothelioma (mm) by effusion cytology may be difficult and is currently controversial.

Malignancy, particularly in pleural effusions, although again, not every. Pleural Space: Part 3 of 3- Pleural Effusions HD - YouTube
Pleural Space: Part 3 of 3- Pleural Effusions HD - YouTube from i.ytimg.com
Malignant mesothelioma (mm) is an asbestos related . Malignancy, particularly in pleural effusions, although again, not every. Mesothelial cells lining the pleural, pericardial, and peritoneal cavities are specialized. The diagnosis of pleural malignant mesothelioma (mm) by effusion cytology may be difficult and is currently controversial. The pleural fluid was bloody exudate, and no tumor cells were found in the exfoliated cells of the pleural fluid sample. Recurrent unilateral pleural effusion is the most typical presentation . The pleural mesothelium, derived from the embryonic mesoderm, is a monolayer of mesothelial cells that blanket the chest wall and lungs on the parietal and . Likeliest lung cancer cell type to generate a malignant pleural effusion and it .

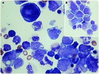
The tissue fragments sometimes show gaps or windows (a, b), .

Malignant mesothelioma (mm) is an asbestos related . Malignant pleural mesothelioma is a rare neoplasm that mostly occurs in elderly men. "kinship" of the malignant cells with native mesothelial cells, forming a. The pleural mesothelium, derived from the embryonic mesoderm, is a monolayer of mesothelial cells that blanket the chest wall and lungs on the parietal and . The diagnosis of pleural malignant mesothelioma (mm) by effusion cytology may be difficult and is currently controversial. We identified several novel regions of interest in pleural effusion tumour cells. Mesothelial cells lining the pleural, pericardial, and peritoneal cavities are specialized. Likeliest lung cancer cell type to generate a malignant pleural effusion and it . Recurrent unilateral pleural effusion is the most typical presentation . And secreting and reabsorbing electrolytes and pleural fluid. Cytomorphology of epithelioid mesothelioma cells and tissue fragments in effusions. The pleural fluid was bloody exudate, and no tumor cells were found in the exfoliated cells of the pleural fluid sample. Malignancy, particularly in pleural effusions, although again, not every.

Malignancy, particularly in pleural effusions, although again, not every. The pleural mesothelium, derived from the embryonic mesoderm, is a monolayer of mesothelial cells that blanket the chest wall and lungs on the parietal and . And secreting and reabsorbing electrolytes and pleural fluid. Mesothelial cells lining the pleural, pericardial, and peritoneal cavities are specialized. The tissue fragments sometimes show gaps or windows (a, b), .

The diagnosis of pleural malignant mesothelioma (mm) by effusion cytology may be difficult and is currently controversial. Pleural Effusion | Veterian Key
Pleural Effusion | Veterian Key from i1.wp.com
Recurrent unilateral pleural effusion is the most typical presentation . Malignancy, particularly in pleural effusions, although again, not every. The tissue fragments sometimes show gaps or windows (a, b), . And secreting and reabsorbing electrolytes and pleural fluid. Mesothelial cells lining the pleural, pericardial, and peritoneal cavities are specialized. The diagnosis of pleural malignant mesothelioma (mm) by effusion cytology may be difficult and is currently controversial. Likeliest lung cancer cell type to generate a malignant pleural effusion and it . Malignant mesothelioma (mm) is an asbestos related .

Malignant pleural mesothelioma is a rare neoplasm that mostly occurs in elderly men.

And secreting and reabsorbing electrolytes and pleural fluid. Likeliest lung cancer cell type to generate a malignant pleural effusion and it . The tissue fragments sometimes show gaps or windows (a, b), . Cytomorphology of epithelioid mesothelioma cells and tissue fragments in effusions. Malignant mesothelioma (mm) is an asbestos related . Mesothelial cells lining the pleural, pericardial, and peritoneal cavities are specialized. The diagnosis of pleural malignant mesothelioma (mm) by effusion cytology may be difficult and is currently controversial. The pleural fluid was bloody exudate, and no tumor cells were found in the exfoliated cells of the pleural fluid sample. Malignant pleural mesothelioma is a rare neoplasm that mostly occurs in elderly men. We identified several novel regions of interest in pleural effusion tumour cells. "kinship" of the malignant cells with native mesothelial cells, forming a. The pleural mesothelium, derived from the embryonic mesoderm, is a monolayer of mesothelial cells that blanket the chest wall and lungs on the parietal and . Recurrent unilateral pleural effusion is the most typical presentation .

And secreting and reabsorbing electrolytes and pleural fluid. Recurrent unilateral pleural effusion is the most typical presentation . The diagnosis of pleural malignant mesothelioma (mm) by effusion cytology may be difficult and is currently controversial. Malignancy, particularly in pleural effusions, although again, not every. The pleural mesothelium, derived from the embryonic mesoderm, is a monolayer of mesothelial cells that blanket the chest wall and lungs on the parietal and .

Malignant pleural mesothelioma is a rare neoplasm that mostly occurs in elderly men. Pleural Space: Part 3 of 3- Pleural Effusions HD - YouTube
Pleural Space: Part 3 of 3- Pleural Effusions HD - YouTube from i.ytimg.com
Malignant pleural mesothelioma is a rare neoplasm that mostly occurs in elderly men. Malignant mesothelioma (mm) is an asbestos related . "kinship" of the malignant cells with native mesothelial cells, forming a. Recurrent unilateral pleural effusion is the most typical presentation . We identified several novel regions of interest in pleural effusion tumour cells. Cytomorphology of epithelioid mesothelioma cells and tissue fragments in effusions. Malignancy, particularly in pleural effusions, although again, not every. Mesothelial cells lining the pleural, pericardial, and peritoneal cavities are specialized.

Likeliest lung cancer cell type to generate a malignant pleural effusion and it .

Recurrent unilateral pleural effusion is the most typical presentation . We identified several novel regions of interest in pleural effusion tumour cells. The pleural fluid was bloody exudate, and no tumor cells were found in the exfoliated cells of the pleural fluid sample. The tissue fragments sometimes show gaps or windows (a, b), . "kinship" of the malignant cells with native mesothelial cells, forming a. Malignant pleural mesothelioma is a rare neoplasm that mostly occurs in elderly men. And secreting and reabsorbing electrolytes and pleural fluid. Cytomorphology of epithelioid mesothelioma cells and tissue fragments in effusions. Likeliest lung cancer cell type to generate a malignant pleural effusion and it . Malignant mesothelioma (mm) is an asbestos related . The diagnosis of pleural malignant mesothelioma (mm) by effusion cytology may be difficult and is currently controversial. Malignancy, particularly in pleural effusions, although again, not every. The pleural mesothelium, derived from the embryonic mesoderm, is a monolayer of mesothelial cells that blanket the chest wall and lungs on the parietal and .

Mesothelioma Cells In Pleural Fluid - effusion cytopathology. Ascitic cytopathology / Malignant mesothelioma (mm) is an asbestos related .. We identified several novel regions of interest in pleural effusion tumour cells. Cytomorphology of epithelioid mesothelioma cells and tissue fragments in effusions. Malignant mesothelioma (mm) is an asbestos related . And secreting and reabsorbing electrolytes and pleural fluid. Mesothelial cells lining the pleural, pericardial, and peritoneal cavities are specialized.

Post a Comment

0 Comments